
FALE COM A GENTE
Belo Horizonte
R. Gonçalves Dias, 142 – Sala 402/403
Funcionários – CEP: 30140-090
O Sorriso Gengival tem solução, com técnicas de Gengivoplastia Estética e Reposicionamento Labial, você conquista um sorriso equilibrado, natural e cheio de confiança. Porque sorrir sem medo é sorrir de verdade.



Especialista em Periodontia pela USP-Bauru, a Dra. Giselle se tornou uma referência no tratamento do sorriso gengival. Com uma vasta experiência, ela atende pacientes de diversas regiões e até de outros países, além de compartilhar seu conhecimento com outros dentistas por meio de cursos e mentorias na área.
Cada vez mais, as pessoas me procuram em busca dos resultados naturais e estéticos que consigo alcançar com as técnicas guiadas de tratamento do sorriso gengival. Minha abordagem integra diferentes especialidades, promovendo saúde e estética para o sorriso.
O que diferencia meu trabalho é a utilização de tecnologia avançada para projetar o sorriso, juntamente com a implantação de biovolumes, nos casos onde o lábio se eleva muito ao sorrir. Realizo uma análise personalizada do rosto do paciente, identificando as correções que podem ser feitas de forma natural e transformadora!



Clique aqui e tire suas dúvidas!
Você pode optar pelo primeiro atendimento online, com a Dra. Giselle Baião. Ideal para quem é de fora de Belo Horizonte ou tem pouco tempo, e deseja realizar a transformação do seu Sorriso Gengival!
Conheça a técnica de Reposicionamento Labial, onde projetamos um implante facial em 3D e planejamos as proporções dos seus dentes, trazendo harmonia para o seu sorriso.
Com uma abordagem personalizada, conseguimos resultados que equilibram o sorriso gengival. Nossos implantes faciais são feitos sob medida, atendendo às suas necessidades específicas, e são ideais para quem se incomoda com o lábio que sobe demais ao sorrir.


Fotos, Tomografia e Planejamento Virtual

Projeto virtual
Projeto preciso dos Implantes Faciais, nos casos de Reposicionamento Labial

Cirurgia Realizada em Ambiente Biosseguro
O procedimento é realizado em uma sala cirúrgica preparada, garantindo todas as normas de biossegurança.

Resultados – Quase imediato!
Com 7 a 10 dias você já vê o resultado!
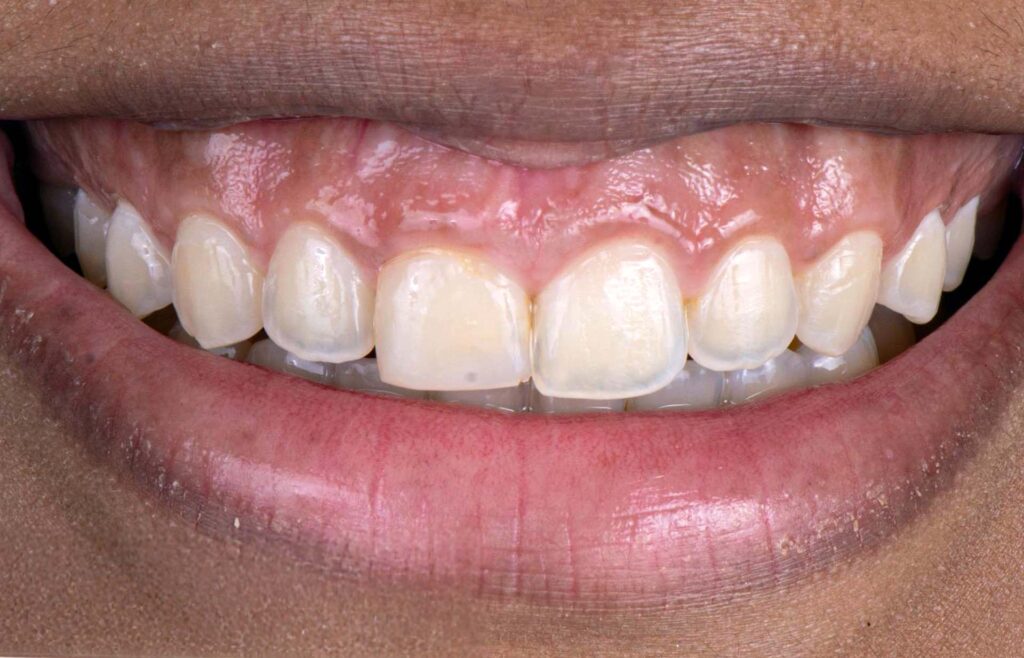
Sorriso Gengival

Gengivoplastia

Clareamento

Faceta em Resina Composta















A gengivoplastia é um procedimento cirúrgico que remodela a gengiva para melhorar a estética do sorriso. Ela pode ser realizada para remover o excesso de gengiva e proporcionar um contorno mais harmonioso.
A maioria dos procedimentos é realizada sob sedação consciente, permitindo que você fique confortável e relaxado durante a cirurgia.
Temos na nossa clinica um blico cirurgico garantindono conforto e biossegurança para você realizar a cirurgia.
O tempo de recuperação pode variar de paciente para paciente, mas muitos já se sentem bem em poucos dias. A maioria das pessoas retoma suas atividades normais em torno de uma semana.